[vc_column]La start-up israélienne Aerodentis propose maintenant sur le marché français leur solution d’orthodontie innovante.
Aerodentis est un système pour aligner les dents à domicile. Le patient se voit remettre une gouttière moulée en thermoplastique avec un ballonet en silicone intégré, reliée à un boîtier de commande. Aerodentis repose sur les mêmes principes biomécaniques qui constituent le fondement des traitements d’alignement traditionnels. L’appareil fonctionne par pulsations pneumatiques à intensité réglable qui vont progressivement redresser les dents. Le traitement est efficace sur les 6 dents antérieures les plus visibles de canines à canines.
Aerodentis fonctionne essentiellement la nuit, pendant 10 heures, sans brackets métalliques ni gouttières en plastique. Le patient répartit lui-même son temps de traitement en fonction de ses disponibilités. Par exemple, il peut porter sa gouttière 7 heures pendant la nuit et 3 heures dans la journée.
Le système est très simple d’utilisation puisqu’une fois la gouttière placée en bouche, le patient n’a qu’à brancher le connecteur et lancer le traitement en appuyant sur un bouton du boîtier de commande ; les réglages ayant été effectués au préalable par le praticien.
Le système de pompe pneumatique et le capteur contrôlent le niveau et la puissance des pulsations en temps réel. La circulation sanguine dans le desmodonte entre la racine et l’os s’en trouve favorisée puisque ceci accélère la régénération tissulaire et diminue le risque de la résorption de la racine.
Le système de traitement Aerodentis s’adresse aussi bien aux enfants qu’aux adultes. Les catégories d’occlusion concernées sont : la classe I DDM, les encombrements et les récidives. Le système ne convient pas, par contre, pour l’occlusion de classe III, les dents incluses, les dentitions espacées sans vestibuloversion et les cas d’extraction.
Aerodentis permet les mouvements suivants : Nivellement et alignement, Redressement, Rotation, Ingression, Egression, Vestibuloversion et Linguoversion.
La procédure de mise en place du traitement Aerodentis se déroule en 4 étapes :
Le patient est invité à consulter au bout de 4 semaines de traitement afin que le praticien réalise les ajustements éventuels. Le suivi s’enclenche au rythme d’une consultation tous les 3 à 4 mois.
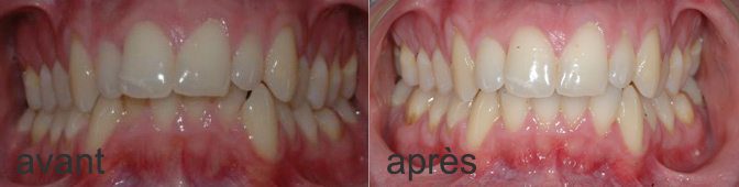
Aerodentis présente sur son site les résultats de son traitement au travers de plusieurs cas cliniques.



Aerondentis s’appuie également sur un étude universitaire de 1999 « Continuous vs. discontinuous force application and root résorption » dans The Angle Orthodontist, pour nous expliquer que l’application d’une force discontinue entraîne une résorption radiculaire minimale.
Si le traitement Aerodentis est un appareil innovant en matière d’orthodontie, ses indications restent très limitées et l’alignement n’est que partiel puisqu’il ne concerne que le secteur antérieur. Pour les patients ciblés, la solution peut paraître séduisante à condition d’accepter de dormir avec un appareil mesurant pas moins de 14 cm et pesant 500 grammes.
En ce qui concerne l’argument d’une moindre résorption radiculaire, certains chercheurs ont émis l’hypothèse que des périodes fréquentes de repos durant un traitement orthodontique « classique » en limiteraient son étendue. D’autre part, selon G.J. King, professeur à l’Université de Washington, seulement 10% des patients seraient exposés au risque de résorption radiculaire.
Il existe encore très peu d’articles scientifiques sur ce nouveau produit, il est par conséquent trop tôt pour se prononcer quant à son efficacité par rapport au traitement multi-bagues classique ou Invisalign.
Cependant, le système de traitement Aerodentis reste une solution alternative qui permet d’étendre l’arsenal thérapeutique des praticiens et qui ouvrira peut-être de nouvelles voies de recherche dans le domaine de l’orthodontie.
Aerodentis est vendu en exclusivité chez Megadental à partir de 690€ HT pour 3 cas (Offre de lancement). Plus de renseignements sur le site Aerodentis.
Les photos et les vidéos proviennent du site aerodentis.com