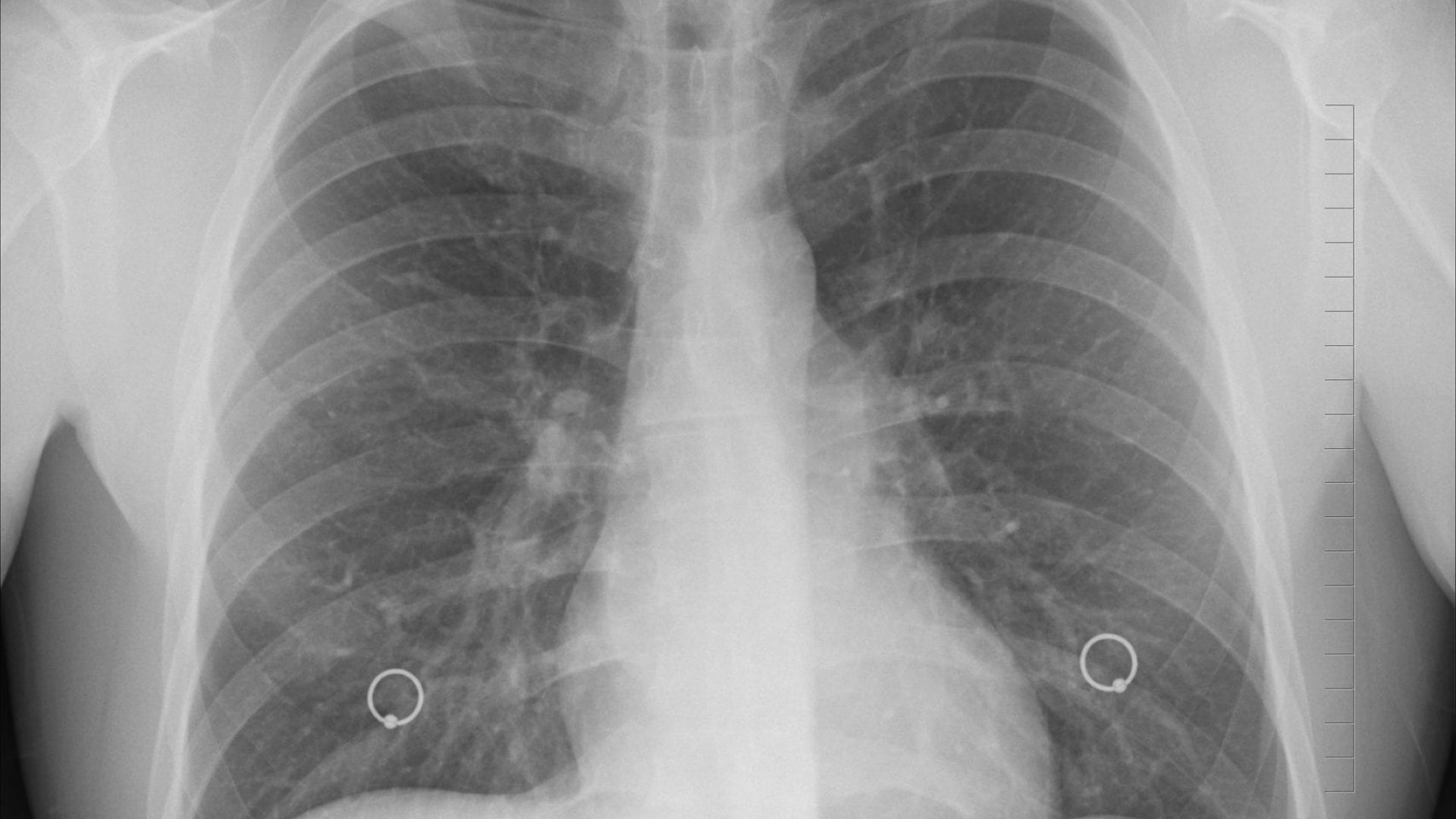
REVUE DE PRESSE – « Les centres américains de contrôle et de prévention des maladies viennent de publier des chiffres qui suscitent d’ores et déjà une grande inquiétude chez les dentistes et autres personnels liées aux soins bucco-dentaires. Un rapport fait en effet état d’un nombre anormalement élevé de fibroses pulmonaires idiopathiques chez les personnes ayant travaillé dans des cabinets de soin dentaire. »
Lire l’article sur Slate (source)











