Le tracé céphalométrique avec intelligence artificielle (IA) séduit de plus en plus les orthodontistes grâce à sa rapidité et à la promesse d’analyses standardisées. Une étude récente publiée dans BMC Oral Health s’est penchée sur la question : ces outils automatisés peuvent-ils réellement remplacer les méthodes semi-automatiques et manuelles encore largement utilisées en cabinet ?
L’essor du tracé céphalométrique automatisé
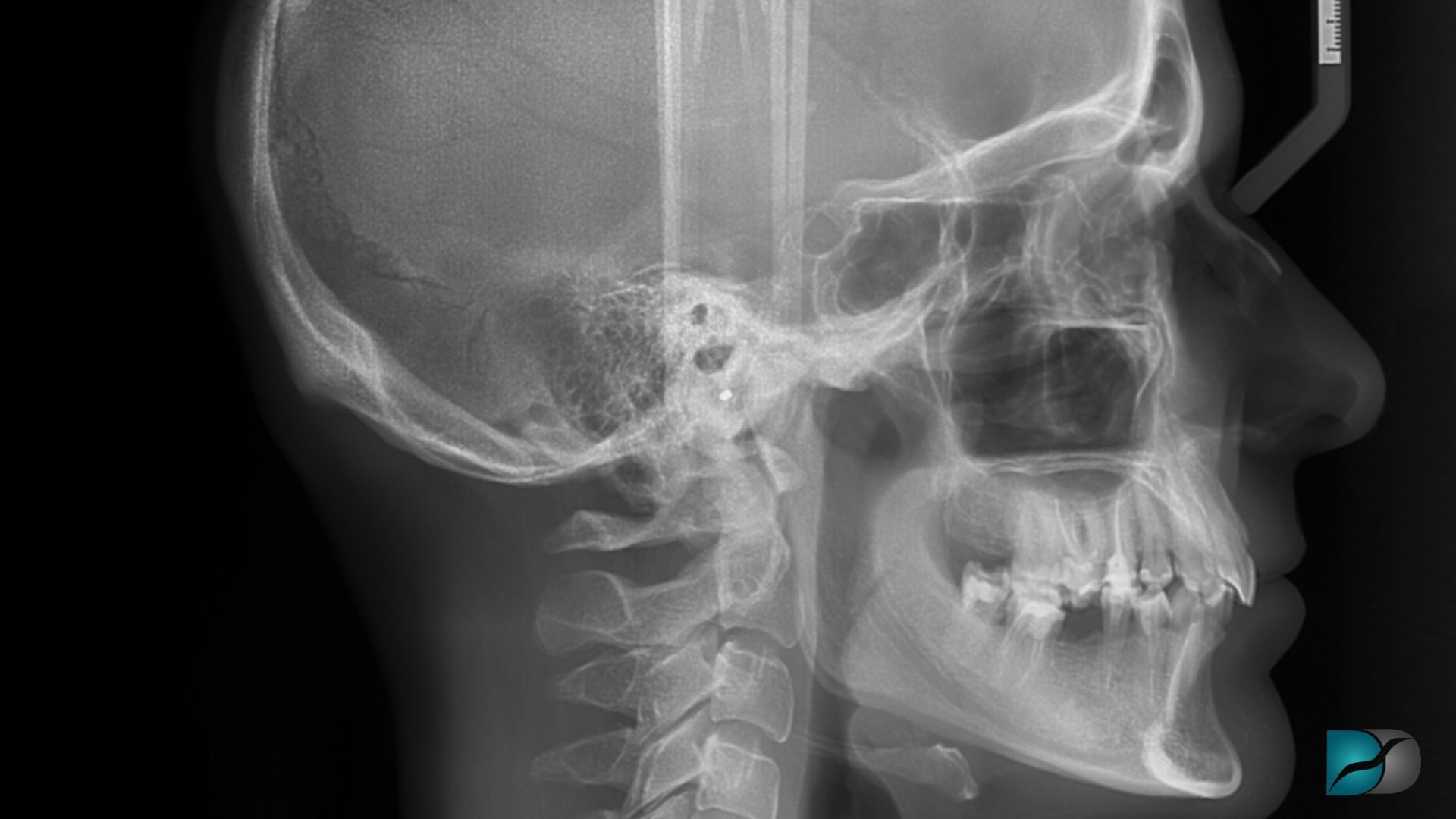
Depuis son introduction dans les années 1930, la céphalométrie constitue un pilier du diagnostic orthodontique, de l’analyse de croissance et du suivi thérapeutique. Longtemps réalisée de façon manuelle, puis digitalisée, elle est aujourd’hui en pleine mutation avec l’arrivée de solutions basées sur l’intelligence artificielle.
Ces logiciels permettent de détecter automatiquement les points anatomiques et d’effectuer les calculs en quelques secondes, réduisant ainsi la variabilité inter-opérateurs et la durée d’analyse. Pour autant, leur fiabilité fait débat dans la littérature scientifique, certaines études évoquant des imprécisions en raison d’erreurs d’identification des repères anatomiques.
Une étude comparative sur 120 céphalogrammes
L’étude publiée en 2025 dans BMC Oral Health a comparé trois techniques de tracé sur 120 téléradiographies de patients âgés de 14 à 33 ans :
- Méthode automatique basée sur l’IA,
- Méthode semi-automatique,
- Méthode manuelle, utilisée comme référence.
Au total, 34 mesures céphalométriques ont été analysées : paramètres squelettiques maxillaires et mandibulaires, relations intermaxillaires, dimensions verticales, dents antérieures et tissus mous. Les résultats statistiques ont permis de mesurer la variabilité entre les méthodes.
Des écarts significatifs sur les mesures squelettiques
Les écarts les plus marqués concernent les mesures squelettiques. L’IA a tendance à surestimer certains angles maxillaires et mandibulaires, pouvant entraîner une mauvaise interprétation de la protrusion ou des relations sagittales.
- SNA (°) : valeurs plus élevées avec l’IA (P < 0.001), suggérant une surestimation de la protrusion maxillaire.
- SNB (°) : différence significative mais plus modérée (P = 0.002).
- ANB (°) : valeurs plus fortes avec l’IA (P < 0.001), pouvant amplifier l’impression d’un décalage maxillo-mandibulaire.
Sur le plan vertical, les méthodes manuelles ont produit des valeurs plus élevées que l’IA, notamment pour les angles GO-GN-SN et gonial (P < 0.001). Cela confirmerait une meilleure précision de l’œil humain dans l’identification des repères osseux verticaux.
Des résultats plus proches pour les mesures dentaires
Les différences observées au niveau dentaire, bien que statistiquement significatives pour certaines variables, restent cliniquement limitées.
Par exemple, l’angle inter-incisif ne présente aucune différence notable entre les trois méthodes. Les mesures telles que L1-NB et U1-NA varient légèrement, mais sans entraîner de modification majeure du diagnostic.
Le tracé semi-automatique : un équilibre prometteur
Entre précision et efficacité, le tracé semi-automatique se démarque comme une alternative intéressante. L’intervention humaine permet de corriger les éventuelles erreurs de localisation des points par l’IA, tout en réduisant le temps de réalisation par rapport à un tracé entièrement manuel.
Cependant, l’étude souligne que le recours à un œil expert demeure indispensable, en particulier pour les repères squelettiques et tissulaires. Les logiciels d’IA ne peuvent, à ce stade, fonctionner sans validation clinique.
Limites et perspectives
Les auteurs soulignent plusieurs limites :
• L’étude se concentre sur un seul logiciel d’IA, ce qui ne permet pas de généraliser les résultats à l’ensemble des solutions du marché.
• L’analyse tissulaire est restreinte au seul angle naso-labial.
Néanmoins, avec l’amélioration des bases d’apprentissage et des algorithmes, l’IA pourrait devenir un outil de mesure fiable, notamment en première intention pour le dépistage ou le suivi.
Pour consulter l’étude complète : BMC Oral Health (2025). Disponible en ligne : https://bmcoralhealth.biomedcentral.com/articles/10.1186/s12903-025-06765-x











